Before and After Gallery
-

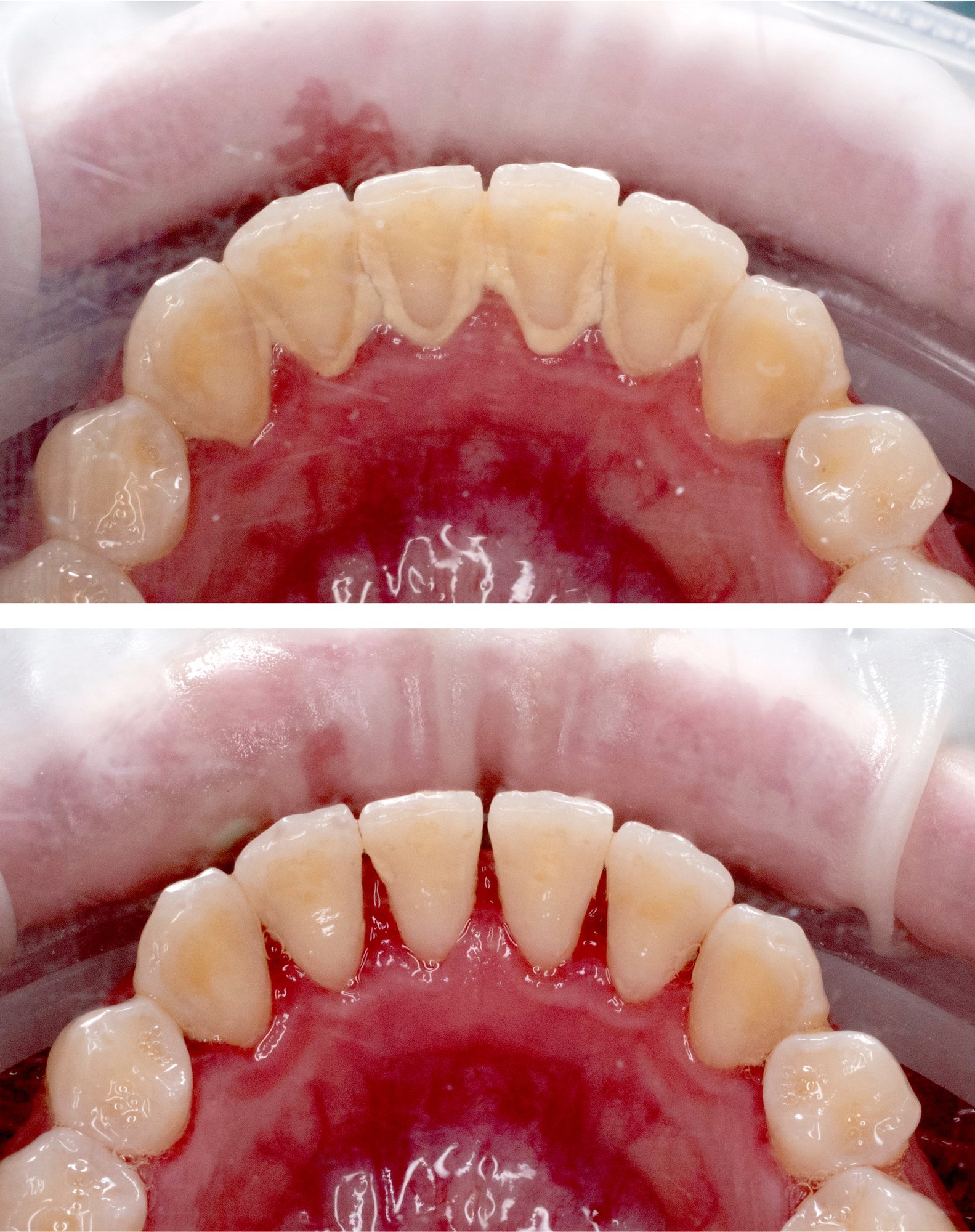
Teeth Cleaning
Teeth cleaning removes buildup and is important to maintain dental health. In general, you should visit your dentist every six months, but your dentist may recommend more frequent cleanings. Before (above) and after (below).
-

Teeth Whitening
Teeth whitening is a procedure designed to lighten the color of natural tooth enamel, making it an excellent way to enhance the appearance of your smile. Keep in mind, however, that it isn’t permanent and touch-ups will be needed. Before (left) and after (right).
-

Composite Filling
A composite (tooth-colored) filling is used to repair a tooth that has been damaged by decay, cracks, or fractures. Since a composite filling matches the color of your tooth, it offers an aesthetically pleasing result. From top to bottom: before, during, and after.
-

Dentures
A denture is a removable dental device used to replace missing teeth and/or surrounding tissue. It is designed to closely mimic the appearance of your natural teeth and can improve the look of your smile. Before (above) and after (below).
-

Replacement Crowns (Cap)
A crown (or cap) is a restoration that covers the entire surface of a tooth, restoring its original shape and size. It helps protect and strengthen the tooth when it cannot be repaired with fillings or other types of restorations. Before (above) and after (below).
-

Implant Crown
An implant crown is a type of dental crown that is placed on top of a dental implant. A dental implant is a titanium post that is surgically inserted into the jawbone to replace a missing tooth root. Implant crowns are typically made from materials like porcelain or ceramic. They provide a durable, long-lasting solution for replacing missing teeth.
We accept most PPO insurance plans. Please call our office to confirm that we are a participating provider.
We also participate in the Maryland Healthy Smiles Dental Program for Children.
We thank you for allowing us to take care of your dental needs and look forward to serving you.
Make an appointment today…..we’ll give you a reason to smile!